
近日,营山县人民医院呼吸与危重症医学科呼吸介入团队再次完成技术新突破,成功为一位气管食管瘘患者进行了全麻下经硬质气管镜Y型金属覆膜支架置入术堵瘘治疗,迅速解决患者呼吸困难、呛咳症状,改善了患者生活质量,更为患者后续治疗赢得了宝贵的时间。经硬质气管镜Y型金属覆膜支架植入堵瘘术是气管支架置入术中高难度技术之一,为四级手术,此项新技术的成功开展在营山县尚属首例,标志着我院呼吸介入治疗水平迈上新台阶。
01病案回顾
56岁的蒋先生(化名),食管恶性肿瘤手术2年后, 反复被咳嗽、咳黄痰、咯血、呼吸困难、畏寒、发热等症状困扰,生活苦不堪言,来到营山县人民医院呼吸与危重症医学科就诊。
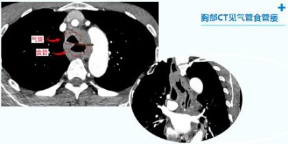
经胸部CT等检查后发现:气管食管瘘、肺部感染。就好比气管和食管间穿了个“洞”,病情危急!胃内容物通过瘘口反流至肺部造成严重的吸入性肺炎,如不把误吸的胃内容物和浓痰吸出,气管食管瘘不予以封堵,肺部感染无法控制!

胸部CT见气管食管瘘
02多学科联合会诊
病情危重,立即联系多学科联合会诊!呼吸与危重症医学科、消化内科、麻醉科、重症监护室、放射科、肿瘤科MDT团队会诊讨论后,先予以“气管镜联合胃镜”明确瘘口位置、大小,同时,经胃镜置入空肠营养管。

术中经气管镜吸出大量黄绿色粘稠脓痰及胃内容物
瘘口位置处于气管下段、直径0.8cm

术后瘘口病检提示鳞状细胞癌
03营医专家妙手堵瘘
病情明确,准备就绪,专家团队决定为蒋先生实施“全麻下经硬质气管镜Y型金属覆膜支架置入术”来进行瘘口封堵,并对可能出现的风险制定了周密的应对方案。
这是一场与死神的搏斗,争分夺秒的营救。麻醉状态下可能导致气道阻塞而缺氧加重,加大了手术和麻醉难度。呼吸介入团队凭借丰富的手术经验,历时30分钟顺利完成手术,支架植入位置精准,膨胀良好、贴壁完全,有效覆盖了患者的气管食管瘘口。

术后蒋先生咳嗽、咳痰、流质饮食呛咳症状明显好转,复查胸部CT原瘘口已被支架完全覆盖、肺部感染明显好转。

04什么是硬质气管镜Y型金属覆膜支架置入术?
硬质气管镜Y型金属覆膜支架置入术是在支气管镜或X线的实时监视下,通过将管状的气管支架支撑物送入病变部(狭窄处、瘘口),支架自展扩张,重建呼吸通道,缓解患者呼吸困难症状的一种气道介入技术。
覆膜支架具有质地韧、弹性好、支撑力强、不容易变形等优点。该支架堵漏,有助于和气管组织无缝隙紧密贴合,同时不遮挡其它正常支气管开口,不易滑脱或咳出。
05呼吸介入团队
我院由呼吸与危重症医学科、胸外科、麻醉科、肿瘤科、重症监护室、放射科、消化内科组成了一支设备齐全、技术力量雄厚的呼吸介入团队。
目前可开展:
1、经支气管镜气管内支架植入术。
2、经支气管镜气管内肿瘤消融术(电凝/电切/电圈套术)。
3、经支气管镜球囊扩张术。
4、硬质气管/支气管镜诊疗技术。
5、气管、支气管-消化道瘘封堵术。
6、经支气管镜气管内异物取出术。
7、CT引导下经皮肺病损(肺结节/肺癌)消融术。
8、CT引导下穿刺肺穿刺活检。
9、内科胸腔镜检查及治疗。
10、常规的支气管镜检查、黏膜活检、灌洗等检查及手术。
(责任编辑:林海南)